Early-onset breast cancer diagnoses are rising, awareness is key 

By Georgie London

DDuring her senior year at the University of Michigan, Brianna Osofisan found a lump in her left breast while doing a monthly breast self-exam. She was diagnosed with breast cancer at the young age of 21.

Osofisan believes that if she had not learned about self-exams in the woman's health studies course she was taking at the time, she would not have found the lump through a self-exam.

"It's important to start doing self-exams very early,” Osofisan said “It's not really something that is common to hear about in your 20's.”

Now, Osofisan is 28 years old and is serving as a support system and voice for other younger women going through the same thing by serving as the program associate for Young Survival Coalition. 

"I really emphasize the importance of knowing what's going on in your own body and advocating for yourself,"
Brianna Osofisan

Women are diagnosed with breast cancer earlier than ever

Early-onset breast cancer affects women’s ages 18-45. Over the past decade, incidence rates have rose by 1.4% each year for women under 50 years old, according to data from the American Cancer Society

What medical professionals know

Early-onset breast cancer tends to be more aggressive than other age groups because it is usually found at a larger size and women are not yet at the age to do routine mammograms, according to Dr. Beth Anglin, who specializes in breast surgery.

There are racial and ethnic disparities for breast cancer. Black women are 38% more likely and American Indian/Alaska Native are 6% more likely to die from breast cancer compared to white women, according to American Cancer Society's 2024-2025 Facts & Figures. However, white women are 5% and 10% more likely to have breast cancer compared to black women and American Indian/Alaska native women.

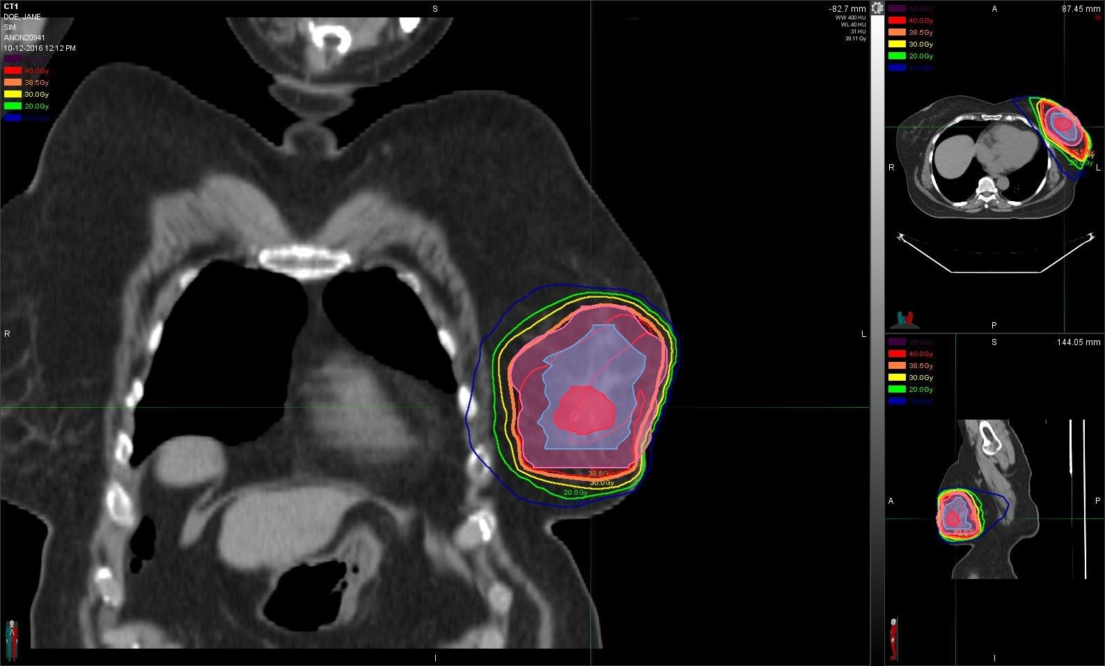
The colored portions of the scan represent the calculated area that gets radiated after breast conservation or lumpectomy. (Photos courtesy of Beth Anglin)

The colored portions of the scan represent the calculated area that gets radiated after breast conservation or lumpectomy. (Photos courtesy of Beth Anglin)

The colored portions of the scan represent the calculated area that gets radiated after breast conservation or lumpectomy. (Photos courtesy of Beth Anglin)

The colored portions of the scan represent the calculated area that gets radiated after breast conservation or lumpectomy. (Photos courtesy of Beth Anglin)

A graphic by the American Cancer Society shows the steeper increase of breast cancer incidence among young women than women 50 years old and older. (Graph courtesy of American Cancer Society)

A graphic by the American Cancer Society shows the steeper increase of breast cancer incidence among young women than women 50 years old and older. (Graph courtesy of American Cancer Society)

A graphic by the American Cancer Society shows the racial disparities in breast cancer incidence and mortality rates. (Graph courtesy of American Cancer Society)

A graphic by the American Cancer Society shows the racial disparities in breast cancer incidence and mortality rates. (Graph courtesy of American Cancer Society)

Trends and awareness among younger women

Mirchelle Lewis, CEO of Cancer Support Community North Texas, is noticing younger patients trickling in. 

“I think what we’re looking at right now is the tip of the iceberg of a general awareness that younger folks are being diagnosed,” Lewis said. 

When women ages 18-39 were surveyed, they expressed knowledge of performing self-exams and looking for symptoms but they lacked confidence in their abilities to do these things accurately by themselves. However, almost 80% ranked  their comfort at  expressing their concerns about breast cancer with a health provider as a four or five on a scale of one to five.

The importance of self-exams

Routine exams and check-ups are vital to catching breast cancer early, which increases the chances of survival. According to research by the American Cancer Society, the five-year relative survival rate for catching breast cancer at the beginning, or localized stage, is over 99% while the survival rate for catching it at the end, or a distant stage, is 32%.

Breast self-exams should be completed monthly to learn what your breasts feel like and to better know when something is not normal, Anglin said.

"People might not be seeing anyone who does a lot of breast exams, so it is important to pay attention to any lumps or tenderness in the breast."
Dr. Beth Anglin

Community and resources for young women

Younger women diagnosed with breast cancer face unique challenges compared to those diagnosed at 50 and older. These challenges include egg preservation, body image, and navigating career and personal goals and expectations, said Kristi Evans, breast cancer navigator at Joan Katz Cancer Resource Center. Younger women often feel alone or lost in their journey, so support groups and guidance plays a huge role during every step of one's cancer journey, she said.

The Young Survival Coalition (YSC) is a support and resource group founded to support young women at any point in their breast cancer journey. YSC hosts a variety of virtual hangouts, one-on-one meetings and an annual conference, during which survivors, caregivers and advocates are invited to learn about different resources and organizations, Osofisan said.

“We know that adding what we call the ‘’psychosocial and emotional component’ of support is as critical as going for your medical treatment.”
Mirchelle Lewis

In Fort Worth, The Joan Katz Cancer Resource Center has a specialized team of navigators for different types of cancer, including breast cancer. Toni Geren and Kristi Evans are the two breast cancer navigators who offer free services. Geren and Evans are both breast cancer survivors who offer knowledge and experience in a time of uncertainty and fear for many patients. Their role is to answer questions, console patients before surgeries and at the time of diagnosis, share expectations for treatment, and give physical resources such as recipe books and port protection pillows.

The Joan Katz Cancer Resource Center at Baylor Scott & White All Saints Medical Center in Fort Worth offers a variety of non-medical resources and support. (Photo courtesy of Joan Katz Cancer Resource Center)

The Joan Katz Cancer Resource Center at Baylor Scott & White All Saints Medical Center in Fort Worth offers a variety of non-medical resources and support. (Photo courtesy of Joan Katz Cancer Resource Center)

Patients receiving care from Baylor Scott & White All Saints Medical Center in Fort Worth will have Amanda McGreevy as their breast nurse navigator in addition to Geren and Evans. Within her role, McGreevy answers medical questions and bridges the communication gap between the physician and the patient.

The Joan Katz Cancer Resource Center offers health and wellness classes for women who have been diagnosed with breast cancer. (Photo courtesy of Joan Katz Cancer Resource Center)

The Joan Katz Cancer Resource Center offers health and wellness classes for women who have been diagnosed with breast cancer. (Photo courtesy of Joan Katz Cancer Resource Center)

Another resource in North Texas is Cancer Support Community North Texas. The nonprofit organization has provided free support since 2002,. The organization has locations in Dallas, Plano, and Fort Worth, and offers virtual assistance.

“We are the only organization in North Texas that provides this kind of comprehensive range of support and that includes things like group support, individual counseling and family counseling,” Lewis said.

Outside of offering support and community, Cancer Support Community North Texas also helps individuals and families financially. The organization helps individuals find insurance coverage and payment options for housing, Lewis said.